All-On-4 Dental Implants: Redefining Smiles with Technology

In today’s world of digital dentistry and advanced implant systems, the All-On-4 technique has redefined what’s possible for people who once thought they’d never smile confidently again. More than just a restoration treatment, it’s a technological breakthrough that blends precision engineering, artistry, and comfort — creating smiles that don’t just look natural but feel like they’ve always belonged.
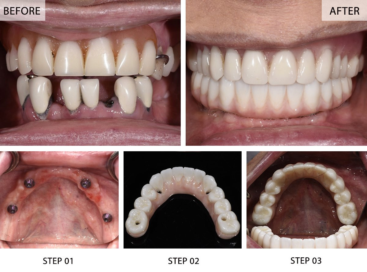
A Smarter Approach to Complete Smile Restoration
The All-On-4 dental implant system was designed to change how full-mouth rehabilitation is done. Traditionally, replacing an entire arch of missing teeth required numerous implants and lengthy healing times. All-On-4 transforms that by using just four strategically placed implants to anchor a full set of prosthetic teeth — reducing surgical time, minimising discomfort, and ensuring immediate function.
This isn’t just about efficiency; it’s about intelligence in design. Using digital imaging, 3D scanning, and guided implant placement, dentists can plan each case with millimetre precision. The result is a custom-fitted, balanced, and stable solution that feels seamless from day one. Patients often leave with a fully functional, beautiful smile after just one procedure — a transformation once thought to take months.
Engineering Meets Aesthetics
Behind every confident smile is a careful blend of science and artistry. The All-On-4 system exemplifies this harmony, offering both strength and natural beauty. The titanium implants fuse with the jawbone, mimicking the function of natural tooth roots, while the prosthetic arch is crafted to replicate the contours, shade, and translucency of real teeth.
Advanced CAD/CAM (Computer-Aided Design and Manufacturing) technology ensures every detail — from bite alignment to smile symmetry — is tailored to the patient’s unique features. For clinicians, it’s a chance to combine craftsmanship with clinical precision. For patients, it’s the difference between “getting new teeth” and getting your life back.
In Australia and beyond, many clinics have embraced this innovation, with a high success rate achieved with the All-On-4 Plus dental solution — a testament to the technology’s reliability and the expertise of today’s implant specialists.
Digital Planning and Real-Time Precision
Every All-On-4 journey begins digitally. Before a single implant is placed, advanced imaging software maps the patient’s bone density, nerve positions, and bite dynamics. This digital planning stage ensures every angle and measurement is optimised for safety, comfort, and aesthetics.
During surgery, computer-guided technology allows clinicians to execute this plan with remarkable precision. This means faster healing, fewer complications, and results that are as predictable as they are transformative. Even the prosthetic teeth are designed and milled digitally, ensuring an exact fit that enhances both appearance and long-term durability.
Comfort, Confidence, and a Renewed Lifestyle
The All-On-4 solution doesn’t just restore smiles — it restores self-assurance, speech clarity, and the simple joy of eating comfortably again. Many patients describe the experience as “life-changing” because it offers stability and natural function that dentures can’t match.
Beyond physical benefits, there’s a psychological lift too. A complete, confident smile often reignites social connections, boosts self-esteem, and reshapes one’s outlook on life. It’s a powerful reminder that dental care isn’t only about teeth — it’s about quality of life.
And with maintenance protocols made simpler through digital tracking and hygiene innovations, long-term care is easier than ever.
Technology’s Growing Role in Modern Dentistry
The rise of All-On-4 is part of a larger transformation happening in the dental world — one where technology drives better results, faster healing, and personalised experiences. Artificial intelligence, digital scanners, and virtual treatment simulations are becoming standard in top clinics, enhancing how both patients and practitioners approach oral care.
In this landscape, digital dentistry is evolving into a seamless ecosystem — from diagnosis to final smile design — where human expertise and machine precision coexist beautifully.
To see how this innovation connects to the next wave of change in the dental industry, explore how technology continues to refine patient experiences and clinical outcomes through the future of dental software — where automation, data insights, and smart design are reshaping the art and science of modern smiles.
Similar Posts
The Reason Age Verification Systems are Important Today
How to Prevent Information Theft Online and Offline
Latest Update: Reddit Stock Emerges as Top Stock Pick on App, Surpassing Nvidia, and Tesla